在PCBA加工中根据实际需求不同需要用到不同的检测仪器,下面深圳宏力捷为大家介绍下PCBA加工中常见的检测仪器的使用方法和判断规格:
六、X-Ray
使用步骤
1. 将待测物放入机台平台(若有需要旋转时需固定)。
2. 调整power & X-Ray head高度。
3. 选择Solder Ball中最大Void并量测其面积。
应用范围
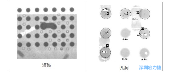
1. 检视BGA短路。
2. 检视Solder Ball的Void。
3. 若为明显空焊时亦可以看出。
4. BGA缺球。
判断案例
判定规格
Void Spec.(IPC7095):
1. class 1:
in solder ball center:D<60%;A<36%
inpad(PCB&BGA):D<50%;A<25%
2. class 2:
in solder ball center:D<45%;A<20.25%
in pad(PCB&BGA):D<35%;A<12.25%
3. class3:
in solder ball center:D<30%;A<9%
in pad(PCB&BGA):D<20%;A<4%
使用步骤
1. 将待测物放入机台平台。
2. 以游标点选基准点与待测区。
3. 按”Run”key自动量测锡膏印刷质量。
应用范围
1. 锡膏厚度,面积,体积量测。
2. 3D模拟(可用以判定印刷质量,如锡尖)。
3. SPC统计。
判断案例
七、锡膏印刷检查机(ASC)
判定规格
依目前厂内锡膏厚度量测标准(0.175~0.191mm)
八、480倍钢板检查机
使用步骤
1. 将待测物放入机台平台。
2. 将倍率调整到40*1或40*2倍率。
3. 调整屏幕画面至最清晰时,进行画面撷取与量测开孔尺寸,并观察其孔壁状况。
应用范围
1. 钢板开孔与缺角之尺寸量测。
2. 钢板孔壁毛边检视(360°&34度角检视功能)。
判断案例
判定规格
1. 钢板开孔之尺寸:
uBGA与IC类零件(如TSOP,QFP...):<±7um
其他零件开孔:<±10um
2. 缺角:<11um
3. 其他规格请依Stencil Design Rule
使用步骤
1. 取回功能性测试(F/T)正常之主板。
2. 进行热机,经过六天热机测试后,若为正常再将主板装箱进行振动实验2小时(x,y及z各2小时)。
3. 当进行完振动实验后,将主板取出再做功能性测试及热机8小时以确保主板是否功能正常。
4. 若功能测试为正常就送回在线,反之则立即针对此机种大量进行振动测试以寻求解决方式。
应用范围
1. 产品可靠度抽检。
2. 新制程,新锡膏与新材料测试。
判定规格
测试零件与基板忍受10至55Hz振动之能力。倘若在振动试验后,发现破裂现象或其它足以影响正常功能之要求时,该零件或基板即不合格。
九、ORT
使用步骤
1. 在生产线测试完后,每条线以逐次抽样5PCS(M/B)。
2. 试验环境温度为摄氏45℃,30%RH,加速因子为3.4倍速。
3. 约6天(144小时)验证时间,将检查结果记录于ORTchart中(每日登记一次),并判别其坐标座落于何区域。
4. 当其坐标位于继续试验区时,则继续进行此试验。
5. 当其坐标位于允收区时,即达到水平,并停止此试验。
6. 当其坐标位于拒收区时,分析不良之原因。
应用范围
1. 产品可靠度抽检。
2. 新制程,新锡膏与新材料测试。
判断案例

深圳宏力捷推荐服务:PCB设计打样 | PCB抄板打样 | PCB打样&批量生产 | PCBA代工代料
